-
笑顔に
自信を持ちたい -
周りに気づかれず
矯正がしたい -
普段と変わらず
食事を楽しみたい -
普段と変わらず
趣味も楽しみたい
目立たない
マウスピース矯正とは
マウスピース矯正とは
mouthpiece
目立ちにくく、今までの生活スタイルを変えることなくキレイになれる!
マウスピース矯正「インビザライン」
マウスピース矯正「インビザライン」
キレイな歯並びにしたいけれど、これまでの矯正治療では矯正装置が目立つことや、毎日の暮らしでさまざまな制限があるのではという不安で、見送っている方は少なくありません。
インビザラインとは、目立ちにくい透明のマウスピースを使う歯列矯正。マウスピースはやわらかいプラスチック製で、簡単に取りはずしができるため、痛みや違和感が少なく、食事もいつも通りにとれることが大きな特長です。これまでに世界で1500万人を超える患者様がインビザライン矯正による治療を受け素敵な笑顔を手に入れています。
インビザラインとは、目立ちにくい透明のマウスピースを使う歯列矯正。マウスピースはやわらかいプラスチック製で、簡単に取りはずしができるため、痛みや違和感が少なく、食事もいつも通りにとれることが大きな特長です。これまでに世界で1500万人を超える患者様がインビザライン矯正による治療を受け素敵な笑顔を手に入れています。
さまざまな方に
マウスピース矯正
が選ばれています
マウスピース矯正
が選ばれています
マウスピース矯正で
あなたの歯並び矯正治療の
お悩み解決いたします
あなたの歯並び矯正治療の
お悩み解決いたします
あなたのお悩みをお選びください
(該当するものをチェック)
(該当するものをチェック)
治療後に綺麗な歯並びになっているのか不安
負担なく美しい仕上がり
マウスピース作成の前の精密検査、治療シミュレーションをしっかりと行いますので、治療ゴールが一目で分かり、治療のモチベーションも維持できます。
矯正治療で痛いのが嫌だ
痛み・違和感が少なく快適
マウスピースは薄く柔らかい素材で、ワイヤーのように締めつけるような痛みや違和感はほとんどありません。痛みに弱い方にも選ばれています。
出っ歯が気になる、前歯だけでも治したい
前歯のみの部分矯正にも対応
前歯の部分矯正インビザラインライトは、インビザラインよりも、治療期間も短く、比較的リーズナブルに治療をおこなうことができます。
矯正していることが周りに気づかれたくない
目立ちにくく治療中も笑顔に
マウスピースは透明なので、矯正中でも目立ちません。お仕事やプライベートで「まわりの視線が気になる」という方におすすめです。
矯正治療中でもお口のケアをきちんとしたい
隅々まで歯磨きできて衛生的
歯磨きの際に取り外せるため、磨き残しがないよう隅々まで磨くことができ、フロスも簡単にできます!他の装置と比べむし歯や歯周病になるリスクも低いです。
通院を少なくしたい、治療期間を短くしたい
通院回数が少ないから気軽
2〜3カ月に一度の通院で大丈夫です。お仕事が忙しい方も無理なく矯正治療を行うことが可能です。年に換算しますと多い方でも6回、少ない方は4回通院ということになります。
金属アレルギーがあるので心配
金属アレルギーの方も安全
マウスピースはプラスチック製で、金属を使うことなく治療することができるため金属アレルギーの患者さまも安心して受けることができます。
治療中に食事を制限されたくない
好きなものを我慢しなくていい
マウスピースは簡単に取り外しができるため、矯正治療を行う前と同じように楽しく食事をとることができます。
大事な時に矯正装置を外したい
簡単に取り外し可能
挙式や入学式・成人式など、大事なイベントの時には取り外しができます。営業職や接客業など、人前に出るお仕事をされている方にも有効な治療です。
歯の黄ばみも気になる
ホワイトニングの併用が可能
マウスピースは、取り外しが可能なので、矯正治療中にホームホワイトニングをすることが可能です。ワイヤー矯正の場合、ホワイトニングをすることができません。
矯正治療費を少しずつ払いたい
分割払いが可能
最大120回の分割払い・ローンができます。月々4,991円からインビザライン治療をおこなうことが可能です。
当院の
インビザライン治療
インビザライン治療
Invisalign
豊富な知識!!
医師が勉強会に定期的に参加。
また、1つの装置に固執することなく最短での治療を心がけている。ワンストップでの治療が可能。
また、1つの装置に固執することなく最短での治療を心がけている。ワンストップでの治療が可能。
実績の多さ!!
開業から20年で1000症例の実績。
治療経験をもとに口腔内を診断し、治療計画を立てる
治療経験をもとに口腔内を診断し、治療計画を立てる
チームのレベルの高さ!!
医師だけでなくスタッフも月に4回勉強会を行う。また、多くのスタッフが当院で
インビザラインの治療を行っている。
インビザラインの治療を行っている。
矯正治療歴20年
経験豊かな歯科医師による治療
従来のワイヤー矯正の理論をインビザライン矯正にいかしています。矯正+インプラント、矯正+審美の治療も行い、見た目の改善、噛み合わせの改善も行います。自身もインビザライン矯正治療経験者です。
院長中尾 伸宏
プラチナエリートを獲得
2022年度のインビザライン治療により院長はプラチナエリートステータスを獲得しました。
豊富な症例数、経験をもとにインビザライン治療の特色をいかし、患者様一人一人に合わせた治療を提案します。
豊富な症例数、経験をもとにインビザライン治療の特色をいかし、患者様一人一人に合わせた治療を提案します。
iTero導入医院
iTeroを使ったより精度の高い治療
歯科用の3D光学スキャナーです。型どりを光学スキャンを用いて行うため、歯型をとる作業が不要となり、患者様の不快感を軽減できたり、適合精度が高いマウスピースを提供できます。
矯正相談のみでも無料でiTeroエレメントを使用し、治療後の歯の動きを確認していただきます。
患者様のニーズに合わせた多様なシミュレーションプラン(選択肢)のご提示
当院では精密検査後の診断結果と患者様からのご要望を反映したシミュレーションプランをご提示しております。
その際には、抜歯した場合と抜歯をしなかった場合といった複数のシミュレーションプランをご提示させていただき、それぞれのプランにおけるメリット・デメリットをご説明しております。
その際には、抜歯した場合と抜歯をしなかった場合といった複数のシミュレーションプランをご提示させていただき、それぞれのプランにおけるメリット・デメリットをご説明しております。
治療計画の選択ポイント・基準
患者様は特に重要視したい要素(抜歯の有無、噛み合わせ)と、当院からは、歯の移動における予測実現性の観点からアドバイスをさせていただきながら、患者様が主体性をもって治療計画をお選びいただき、モチベーションを持って、治療に臨んでいただけるかと思います。
豊富な選択肢を可能にするインビザライン治療の工夫
IPR
歯と歯の間を少し削り、歯を動かすスペースを確保する処置を行うことがあります。
顎間ゴム
かみ合わせの調整のために、歯の表面にゴムかけ用の突起を装着し(または、マウスピースの切れ込み)、上下2箇所結ぶようにゴムをかけていただくことがございます。
歯科矯正用アンカースクリュー
小さなネジ(直径2.0㎜以下で長さ4mm~8㎜程度)を上顎、下顎の骨に一時的に植立し、固定源とすることで効率的に歯を移動させる矯正治療法です。
インビザライン治療の適応評価ガイドラインとは?
『技術習熟曲線/learning curve(ラーニング・カーブ)』
『技術習熟曲線/learning curve(ラーニング・カーブ)』
インビザラインを使用したマウスピース矯正治療においては、インビザライン・ジャパン社が歯科医師の症状に対する
経験値や技術力に応じて、段階的に難しい症例を手掛けるようにと推奨しているlearning
curve(ラーニング・カーブ/技術習熟曲線)というものがございます。
当院では、これまでに軽度から重度を含めさまざまな症状・症例を治療してまいりました。
当院では、これまでに軽度から重度を含めさまざまな症状・症例を治療してまいりました。
症例
case
当院のスタッフもマウスピース矯正
「インビザライン」を受けています
「インビザライン」を受けています
皆さんはインビザラインをご存知でしょうか?
今回はインビザラインについて多くの方に理解を深めていただくため
実際に体験している当院のスタッフにインタビューをおこなっています
今回はインビザラインについて多くの方に理解を深めていただくため
実際に体験している当院のスタッフにインタビューをおこなっています
《院長も、スタッフのほとんどがインビザラインを行なっています》
インビザライン症例
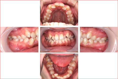
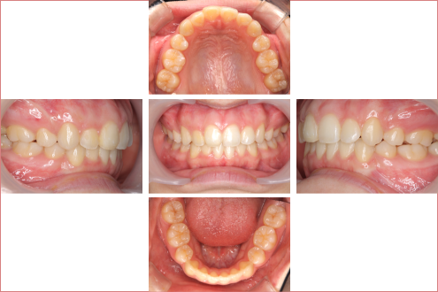
case1
before
after
年齢/性別
40代/女性
主訴
歯のガタガタが気になる
治療期間
4年半
費用
880,000円(税込・調整料込)
治療内容
歯並びがデコボコしていたため、あごの横幅を広げてスペースを作り、きれいに並べました。
前歯が前に出ないように、かみ合わせのバランスを整えながら治療を進め、上下の真ん中の位置(正中)もそろえました。
前歯が前に出ないように、かみ合わせのバランスを整えながら治療を進め、上下の真ん中の位置(正中)もそろえました。
case2
before
after
年齢/性別
10代/女性
主訴
前の歯が気になる、全体的にガタガタしている
治療期間
4年
費用
865,000円(税込・調整料込)
治療内容
歯並びやかみ合わせを整えるために、あごの大きさと歯のバランスを考慮し、前から4番目の小臼歯を上下で合計4本抜歯しました。
case3
before
after
年齢/性別
20代/女性
主訴
全体的に歯がガタガタしている
治療期間
2年
費用
875,000円(税込・調整料込)
治療内容
歯がきれいに並ぶように幅を広げ、倒れていた奥歯をまっすぐに立て直しました。
歯と歯の間を少しだけ削って(IPR)スペースを作ることで、より自然な歯並びに近づけました。
治療の最後には、上下の前歯から犬歯までにワイヤーを3か月間使用し、歯のアーチ(カーブ)を整えて仕上げました。
歯と歯の間を少しだけ削って(IPR)スペースを作ることで、より自然な歯並びに近づけました。
治療の最後には、上下の前歯から犬歯までにワイヤーを3か月間使用し、歯のアーチ(カーブ)を整えて仕上げました。
全ての治療のリスク
⚫︎虫歯の発生
⚫︎歯肉炎の発生
⚫︎歯周病の進行
⚫︎歯の失活(神経の壊死)
⚫︎歯根吸収
⚫︎治療期間の延長
⚫︎歯肉退縮
⚫︎ブラックトライアングル
⚫︎知覚過敏
⚫︎矯正治療に伴う歯や顎の痛み
⚫︎発音障害
⚫︎補綴物の破損
⚫︎治療期間の延長
⚫︎マウスピースの再作成
⚫︎途中からワイヤー矯正への移行の可能性
⚫︎その他リスクが生じる可能性があります。
治療費
cost
相談・カウンセリング
歯のお悩みを伺わせていただいた上で、インビザラインや料金のご説明をさせていただきます。
口腔スキャン(iTero)を使った
治療シミュレーションを無料でおこなうことができます!
治療シミュレーションを無料でおこなうことができます!
今の歯並びを立体画像で360度チェック、矯正治療後の綺麗な歯並びも確認できます。
全体矯正
インビザライン フル
前歯から奥歯まで幅広い症例に対応
税込650,000円〜
治療期間の目安(6ヶ月〜5年)
※アタッチメント設置費用は税込 5,000円。矯正位治療が終了するまで、毎回の診療費・調整費は一切掛かりませんのでご安心ください。
部分矯正
インビザライン ライト
前歯を綺麗に並べたい方におすすめ
税込450,000円〜
治療期間の目安(3ヶ月〜6ヶ月)
※アタッチメント設置費用は税込 5,000円。矯正位治療が終了するまで、毎回の診療費・調整費は一切掛かりませんのでご安心ください。
分割・ローン払いが可能
インビザライン フル 650,000円 の場合
24回払い
月々28,000円(初回29,985円)
36回払い
月々19,000円(初回20,685円)
60回払い
月々11,800円(初回13,275円)
120回払い
月々6,400円(初回9,690円)
インビザライン ライト 450,000円 の場合
24回払い
月々19,400円(初回20,405円)
36回払い
月々13,100円(初回16,205円)
60回払い
月々8,100円(初回13,275円)
120回払い
月々4,400円(初回10,370円)
各種クレジットカード
各種クレジットカードでのお支払いに対応しています。ご不明点がございましたら、お気軽にお問い合わせください。
医療費控除の取り扱い
対象
○ 1月から12月までの1年間にかかった「矯正治療・医薬品の費用」「通院のための交通費」の合計が10万円以上ある場合
○不正咬合の歯列矯正、治療のための通院費
○現金/クレジット/ローン
対象外
○ 審美的な目的の場合
インビザラインと
ワイヤー矯正の違い
ワイヤー矯正の違い
difference
Invisalign
インビザライン
インビザライン
wire
ワイヤー矯正
ワイヤー矯正
目立ちにくさ
invisalign
wire
取り外しの可否
invisalign
wire
食事の快適さ
invisalign
wire
装着時の違和感
invisalign
wire
痛みはないか
invisalign
wire
ケアのしやすさ
invisalign
wire
費用
invisalign
wire
よくある質問
Q & A
矯正治療は痛みがありますか?
インビザラインは比較的痛みの少ない矯正治療ですが、新しい装置を装着してから2~3日は痛みが出てしまうことがあります。また、一時的に話しづらさ・違和感が出ることもありますが自然と薄れていくことがほとんどです。痛みの感じ方には個人差がありますが、インビザラインのマウスピース装置は痛みを軽減させるように設計されています。
治療期間はどのぐらいかかりますか?
治療にかかる期間は、患者様のお口の状態・歯並び、選択する治療方法によりますが、平均1~2年になります。保定期間も矯正期間と同じくらい必要ですので、保定装置を使用するのも1~2年ほどとお考えください。個別の患者様の具体的な治療期間については、精密検査後にしっかりご説明しますので、お気軽にご相談ください。
年齢制限はありますか?
原則制限はありませんが、お子様は9歳から対応可能です。また、矯正治療には年齢の上限はございません。
親知らずを抜かないと治療できませんか?
親知らずを抜く必要があるかどうかは、矯正前の検査・診断で判断させて頂いております。必ずしも抜いてから来院される必要はございません。矯正治療前に、虫歯の治療や親知らずの抜歯が必要だと判断された場合でも、すべて当院でご対応できますので、そのままいらして頂ければと思います。(保険適用)
健康な歯を抜きたくないのですが?
インビザラインでの矯正治療では、なるべく歯を抜かずに行うことが基本になります。ですが、歯並びの状態、顎と歯の大きさのバランスが悪いと、顎に歯の並ぶスペースが確保できず、抜歯が必要になることがあります。歯が並ぶスペースが十分に取れていれば、大人になった時の矯正治療でも、抜歯せずに行うことができます。
妊娠中・育休中でも治療は可能ですか?
はい、インビザラインで使うマウスピース型の装置はメタルフリーで安全な素材です。そのため、妊娠中・育児中の方でも問題なく受けていただけます。
金属アレルギーでも矯正治療はできますか?
インビザラインでのマウスピース矯正は、一切金属を使用しませんので、金属アレルギーのある方でも安心して受けていただけます。
前歯だけ矯正したいのですが、インビザラインで部分矯正はできますか?
はい、部分矯正に適した「インビザライン ライト」がございます。前歯を綺麗に並べたい方におすすめです。
ワイヤー矯正とマウスピース矯正どちらにしようか悩んでいます。
骨格、歯並びの状態、歯の形などの条件により治療方法が変わりますが、大きな問題が無ければ、マウスピース矯正をお勧めします。装着の負担(見た目、装着感、痛みなど)が少なく行えます。
矯正治療中は、普通に食事ができますか?
取り外しができる矯正装置(マウスピース矯正など)は、食事中は取り外すことができますので、これまで通り食事を楽しめます。歯に固定するワイヤー矯正の場合も、食事はもちろんできますが、硬すぎる食品や歯にくっつくような食品は、装置の脱落につながるので、避けていただくことになります。
なぜ矯正をしたほうがいいのでしょうか?
歯並びを整えることで、見た目の問題を解消できるのはもちろん、歯磨きがしやすくなりむし歯・歯周病が予防できる、噛み合わせを整えることで全身のバランスが整うといった様々なメリットがあります。
マウスピース矯正は医療費控除の対象になりますか?
不正咬み合わせなど、歯の機能上の問題を改善することを目的とした矯正治療の場合は、マウスピース矯正も医療費控除の対象となります。
クレジットカードは利用できますか?
インビザラインは各種クレジットカードの利用が可能です。分割・ローン払いにも対応しております。
当院での流れ・無料相談
frow & consultation
お問い合わせ・ご予約
まずは、電話・でお問い合わせください。
WEB予約やLINEからの相談も可能です。
WEB予約やLINEからの相談も可能です。
ご相談・カウンセリング
来院いただき、歯のお悩みを伺わせていただいた上で、インビザラインや料金のご説明をさせていただきます。(所要時間:60分程)
口腔スキャン(iTero)を使った治療シミュレーション
今の歯並びを立体画像で360度チェック、矯正治療後の綺麗な歯並びも確認できます。
今の歯並びを立体画像で360度チェック、矯正治療後の綺麗な歯並びも確認できます。
精密検査・検査結果
お口の写真やレントゲンを取らせていただきます。必要なデータをもとにどのように治療を進めるか決定していきます。
患者様へしっかり説明します
「口腔内写真」にて患者さんのお口の中の状態をお伝えします。
「簡易診断書」にて患者さんのお口の中がどうなっているか、どのような治療が必要なのかをお伝えします。
治療シミュレーション
歯型を元に治療シミュレーション(クリンチェック)を作成いたします。3次元シミュレーションソフトを通じ、コンピュータ画面上にて、治療完了にいたるまでの総合的な治療計画の立案・検討を行います。治療シミュレーションのご確認後に、マウスピースを作成します。
治療開始
マウスピースに関する説明や、装着と取り外しの練習を行います。
必要があれば、アタッチメント(樹脂製のポッチ)の装着や歯のサイズの調整を行います。矯正治療開始後は、1週間に1度のペースでマウスピースを交換します。
必要があれば、アタッチメント(樹脂製のポッチ)の装着や歯のサイズの調整を行います。矯正治療開始後は、1週間に1度のペースでマウスピースを交換します。
透明で見えにくいマウスピースを1日22時間装着することで歯並びを整えていきます。7日間で1枚、マウスピースを交換することで徐々に綺麗な歯の並びに変化していきます。
治療後の観察・定期検診
矯正治療が終わったら、歯が後戻りするのを防ぐため、保定装置(リテーナー)で歯が動かないようにします。保定期間中は3か月に1度ご来院いただき、定期検診やクリーニングと一緒に治療後の観察を行っていきます。予防のプロである歯科衛生士がしっかりと患者様の口腔内をチェックし、虫歯や歯周病も防ぎます。
最後に
lastly
矯正をするメリット
歯並びと8020達成率
80歳で自分の歯を20本以上保つこと
※ 正しい歯並びの場合は、82%で80歳で20本以上の歯を残すことができています。
※ 全体の8020達成率は約38%
参考:東京歯科大学 研究結果
参考:東京歯科大学 研究結果
美容にかかる平均費用
歯列矯正の平均的な費用は
100万円前後(当院では約90万円)
この金額を日常的な支出と比べてみると、ネイルやまつ毛のエクステも毎月の費用がかかる。
20年後に残るのは、
矯正で得た素敵な笑顔‼︎
100万円前後(当院では約90万円)
この金額を日常的な支出と比べてみると、ネイルやまつ毛のエクステも毎月の費用がかかる。
20年後に残るのは、
矯正で得た素敵な笑顔‼︎
美容院
月6,063円→20年で145万円
エステ
月8,027円→20年で192万円
まつ毛エクステ・ネイル
月5,000円→20年で120万円
お試しプレート
マウスピース矯正が不安な方に…
お試しプレートで3日間の試着が可能!本物のインビザラインマウスピースよりお試しプレートは薄いため、これで問題なければ治療もうまくいく!
※ 費用は6,000円(税込)
お試しプレートで3日間の試着が可能!本物のインビザラインマウスピースよりお試しプレートは薄いため、これで問題なければ治療もうまくいく!
※ 費用は6,000円(税込)
お問い合わせ
contact
インビザラインや歯並びに関するお問合せは
、下記フォームにて受け付けております。当院では、インビザラインの経験豊富なドクターが治療を行います。分からないことや不安なこと、気になることがあれば、何でもご相談ください。